loading

치료사례(치아)

치료사례(치아)

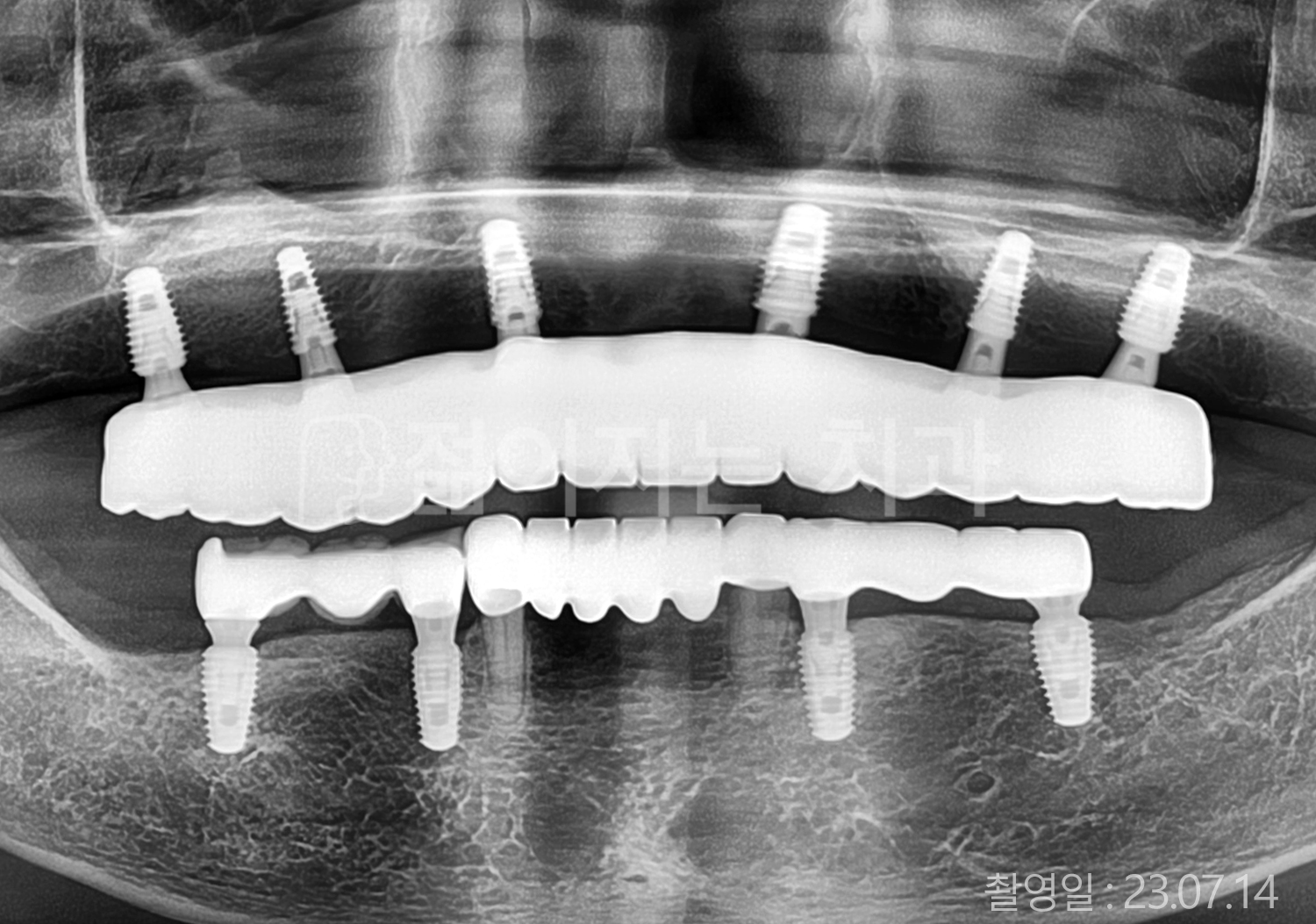
치료부위

식립개수

특이사항

  • 50대 전체치아 10개 이상 임플란트
  • 50대 고혈압, 고지혈증 전체치아 10개 이상 임플란트
  • 50대 전체치아 10개 이상 임플란트
  • 50대 전체치아 10개 이상 임플란트
  • 60대 고혈압, 당뇨, 고지혈증 전체치아 10개 이상 임플란트
  • 70대 고혈압 전체치아 10개 이상 임플란트
  • 50대 전체치아 10개 이상 임플란트
  • 70대 당뇨, 고지혈증, 골다골증 전체치아 10개 이상 임플란트
  • 50대 당뇨, 고지혈증 전체치아 10개 이상 임플란트
  • 50대 고혈압, 고지혈증 전체치아 10개 이상 임플란트
  • 60대 전체치아 10개 이상 임플란트
  • 50대 전체치아 10개 이상 임플란트
위 사진의 저작권은 젊어지는 치과에 있습니다.
무단 인용이나 도용, 재배포 시 민‧형사상의 책임을 질 수 있습니다.
본 사진은 환자분의 동의 하에 게재 되었습니다.

* 위 사진은 동일 조건에서 촬영 되었습니다. / 모든 치료에는 부작용이 발생할 수 있습니다.

10초 상담 예약 신청
간편상담신청
02)3482-2828