loading

시니올 자기치아 살리기

시니올 자기치아 살리기

흔들리는 치아, 부러진 치아, 염증으로
뼈가 녹고 있는 치아
빼는 것이 정답일까요?

내 치아를 최선을 다해 치료한 후에도 나아지지 않으면,
그 때 발치를 선택해도 늦지 않습니다.

자기치아 아끼고 살리기

자기치아 아끼고 살리기

사진 속 글자에는 젊어지는치과의 가장 깊은 곳에 자리한 치료 철학을 담고 있습니다.
'자기치아 아끼고 살리기', 그것이 우리가 추구하는 궁극적인 목표입니다.

자연치아의 하나의
가치는 무려 5,000만원

치아가 흔들리거나 통증이 계속 있는 경우
뽑고 임플란트를 하는 것이 너무나 자연스러워졌습니다.

임플란트가 좋은 치료이긴 하지만, 틀니나 보철 등 과거의 치료 방법보다
좋다는 것이지,
결코 살릴 수 있는 자신의 치아보다 좋다는 것이 아닙니다.

자연치아 비용

젊어지는치과에 내원하시면
기초공사 하듯이
시니올
치주치료 먼저 진행합니다.

치과에 내원 시, 무조건 발치하고
임플란트 하는 것이 우선이 아닙니다.
기초공사 하듯이 치주치료를 먼저 진행 후
최대한 살릴 수 있는 치아를 살리는
과정을 거치는 것이 중요합니다.

시니올 치주치료 시니올 치주치료

임플란트 하기 전, 치주치료가 먼저인 이유

치주질환과 전신질환은 위험인자를 공유합니다.

치주질환과 전신질환은

위험인자를 공유합니다.

치주질환은 세균에 의한 만성 감염병으로,
다른 전신질환들과 위험요인을 공유합니다.
생활습관, 식이, 흡연 등 위험요인으로 인해 치주질환이 악화되며,
반대로 치주질환 또한 심혈관계질환, 고혈압, 당뇨병, 신장질환, 골다공증 등을 악화시킬 수 있습니다.

치주질환

임플란트 전 치주질환을 잘 치료하여
건강한 구강을 회복하면
전신건강을 회복하는 데도
도움이 될 뿐 아니라
임플란트 수술 시 신체에
부담을 줄이고,
장기적으로 좋은 예후를
보장할 수 있게 됩니다.

자연치아의 수명을 연장하고,
발치하는 치아 개수를 줄일 수 있습니다.

현재 잇몸이 좋지 않아서 흔들거리고,
빼야 되는 것처럼 보이는 치아들도
치주치료를
하고나면
발치하지 않고 치아의 수명을
연장할 수 있게 되는 경우도 많습니다.

발치되는 치아의 수가 줄어드니
당연히 심어야하는 임플란트의 개수도 줄어들고,
치료 비용 또한 줄일 수 있게 됩니다.

임플란트 전 치주치료가 필요한 경우

[임플란트 전 치주치료가 필요한 경우]

  • 발치 후 염증과 통증이 감소합니다.

    치주치료 후에도 살릴 수 없는 치아를
    어쩔 수 없이 발치한다고 하더라도

    발치 후에 염증과 통증을 줄일 수 있습니다.

    실제로 염증 치료를 하지 않고
    치아를 발치하면
    발치 후에 붓고 통증이 생기는
    경우가 많이 있기 때문입니다.

    발치 후 염증과 통증이 감소합니다.
  • 임플란트를 심을 수 있는 안정적인 기반 조성

    임플란트를 심을 수 있는 안정적인 기반 조성

    임플란트를 심을 수 있는
    안정적인 기반 조성

    치주치료가 선행되지 않은 상태에서
    무조건 치아를 빼고 임플란트를 하게 될 경우

    인접 치아의 염증 등으로 인해
    임플란트가 뼈에 안정적으로 굳기 어렵고,

    주위에 염증이 발생할 가능성도 매우 높아집니다.

    깨끗한 기초 위에 튼튼한 건물이
    오래 유지되듯이
    치주치료를 통해
    잔여 염증을 제거하고,
    건강한 잇몸을 회복 후 임플란트를 심게 되면
    수술 시 붓기,
    통증을 줄이고 수술 후에도
    임플란트가 성공적으로 자리 잡을 수 있게 됩니다.

시니올 치주치료 과정

시니올 치주치료 과정 시니올 치주치료 과정
  • 01

    구강검진

    각 분야 전문 원장님 검진

    최신 장비를 이용한 정확한 검진

  • 아래화살표
  • 02

    치주 상태 평가

    검진 결과에 따른 맞춤
    치주치료 계획 수립

  • 아래화살표
  • 03

    시니올 치주치료

    구강관리 전문가가 직접 진료

    저자극 스케일링

    레이저 치주치료

  • 아래화살표
  • 04

    구강관리법 교육

    자가 구강관리 방법 교육

15년 임상경험의
자연치아 살리기 전문가
보존과 전문의

이지혜 대표원장님

자연치아를 충분히 살릴 수 있음에도 불구하고,
치료 과정이 복잡하다는 이유로 발치를 선택하는
치과가 많습니다.

하지만 젊어지는치과에서는
보건복지부 인증 치과보존과
전문의가
직접 진료하며, 발치보다는 자연치아를 살리는

보존 치료를 기본 원칙으로 삼고 있습니다.

치과보존과는 치아의 형태와 기능을
최대한 유지하는 것을
목표로 하는 전문 분야로,
대한민국 치과의사 중 약 3%만이

보존과 전문의 자격을 보유하고 있습니다.

젊어지는치과는 이러한 전문성을 바탕으로
정밀 진단을 통해
자연치아 보존을 최우선으로
고려합니다.
불필요한 발치를 지양하며,

치아를 최대한 오래 건강하게 유지할 수 있도록
최선을 다합니다.

최첨단 진단 장비를 활용한
시니올 치주치료 프로그램

  • 큐레이 캠프로 진단 (Q-ray CAM pro)

    큐레이 캠프로 진단
    (Q-ray CAM pro)

    구강 내 세균을 잡아내는 큐레이 특수 카메라는 치아 균열 및
    잇몸과 치아 사이에 숨어 보이지 않는 치석과 치태까지 체크할 수 있습니다.
    큐레이 특수 카메라는 발치로 이어질 수 있는 치아 균열에 대해서
    정확한 진단과 예방적 치료가 가능합니다.

  • 고주파 플라즈마 레이저 (EZEN PLASMA)

    고주파 플라즈마 레이저
    (EZEN PLASMA)

    고주파 플라즈마를 이용한 멸균 치주치료 장비로 숨어있는
    염증 세균을 효과적으로 멸균, 치주포켓 멸균과 뼈 재생을 촉진하며,
    구강건조증, 구내염 등에도 사용됩니다. 치아를 살릴 수 있는 확률을 높이고,
    신경치료 후 치아의 예후가 더 좋다는 장점이 있습니다.

시니올 치주치료로
자연치아를 살린 사례

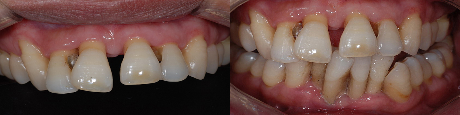
  • CASE.01

    심한마모 치아 살리기

    심한마모 치아 살리기
  • CASE.02

    심한마모 치아 살리기

    심한마모 치아 살리기
  • CASE.03

    뿌리 끝에 염증이 있는 치아 살리기

    뿌리 끝에 염증이 있는 치아 살리기
  • CASE.04

    충치가 있는 치아 살리기

    충치가 있는 치아 살리기
  • CASE.05

    치경부 마모증이 있는 치아 살리기

    치경부 마모증이 있는 치아 살리기

젊어지는치과 시니올 치주치료는
임플란트가 치과 치료의
마지막 선택
이 될 수 있도록
자연치아를 살릴 수 있는
방법에 대해 연구하고 고민합니다.

22년째 강남역 한곳에서 진료

젊어지는치과

상담만 받아도 왜 젊어지는치과인지 알 수 있습니다.

무료상담 신청하기

  • 이름 * 필수 입력사항입니다.
  • 휴대폰번호
10초 상담 예약 신청
간편상담신청
02)3482-2828